Сүүлийн жилүүдэд хиймэл оюун ухаан (AI) эрүүл мэндийн салбарт эрс шинэчлэл авчирч, оношилгоо, эмчилгээний үр дүнг сайжруулахад чухал үүрэг гүйцэтгэж байна. Тухайлбал, Google Health болон DeepMind-ийн хамтарсан судалгааны баг 2020 онд хөхний хорт хавдрыг 94%-ийн нарийвчлалтай илрүүлэх AI загвар бүтээсэн бол IBM Watson Health хорт хавдрын оношилгоонд 90%-иас дээш нарийвчлалтай илрүүлэх AI загвар боловсруулсан. Энэ удаад та бүхэнд Google Health болон DeepMind-ийн хөхний хорт хавдрын оношилгооны судалгааны үр дүнг танилцуулъя.
Хөхний хорт хавдрын скрининг ба асуудлууд
Хөхний хорт хавдар нь эмэгтэйчүүдийн дунд нас баралтын хоёр дахь тэргүүлэх шалтгаан бөгөөд эрт илрүүлж эмчилбэл амьдрах магадлал өндөр байдгийг судалгаагаар тогтоосон. Иймээс олон улс хөхний хорт хавдрын скринингийн хөтөлбөр хэрэгжүүлж, өвчнийг эрт илрүүлэхийг зорьж байна. Гэвч маммограм (хөхний рентген зураг)-ыг тайлбарлахад эмч мэргэжилтнүүдийн оношилгооны нарийвчлал хэлбэлзэлтэй байсаар байна. Үүнийг шийдвэрлэхийн тулд Google Health, Cancer Research UK Imperial Centre, Northwestern University, Royal Surrey County Hospital хамтран AI-д суурилсан оношилгооны систем хөгжүүлсэн бөгөөд уг систем нь АНУ, Их Британийн эмч мэргэжилтнүүдийг давж гарсан болохыг Nature сэтгүүлд нийтэлсэн судалгаа баталжээ.
Хөхний хорт хавдрын дата ба AI загварын сургагдсан байдал
Хөхний хорт хавдрын скринингийн хөтөлбөр улс орон бүрт ялгаатай. Жишээ нь:
АНУ: Эмэгтэйчүүдийг 1-2 жил тутамд нэг удаа маммограм шинжилгээнд хамруулж, нэг радиологич оношилдог.
Их Британи: 3 жил тутамд нэг удаа шинжилгээ хийж, хоёр радиологич тус тусдаа оношилдог. Хэрэв дүгнэлт зөрвөл гурав дахь мэргэжилтэн оролцон эцсийн шийдвэр гаргадаг.
AI загварыг сургах, үнэлэх зорилгоор дээрх хоёр орны томоохон мэдээллийн санг ашигласан.
Их Британийн дата: 2012-2015 оны хооронд Лондонгийн хоёр эмнэлгээс санамсаргүй түүвэрлэсэн 25,856 эмэгтэй. Үүнээс 785 нь биопсийн шинжилгээ хийлгэсэн, 414 нь гурван жилийн дотор хорт хавдартай нь тогтоогдсон.
АНУ-ын дата: 2001-2018 оны хооронд нэг академик эмнэлэгт хийсэн 3,097 эмэгтэйгийн скринингийн өгөгдөл. Үүнээс 1,511 нь биопсийн шинжилгээ хийлгэж, 686 нь хорт хавдартай гэж оношлогдсон.
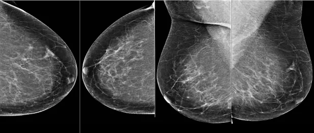
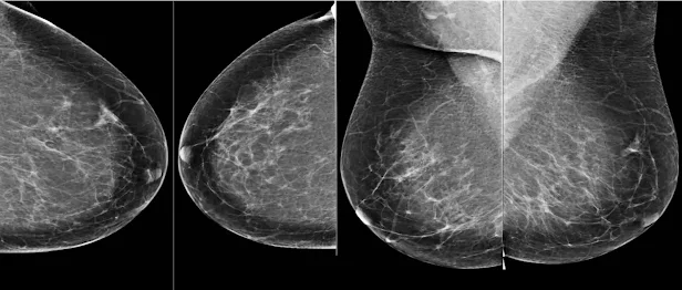
Маммограмм бүр дөрвөн зурагтай байдаг - хөх тус бүрээс хоёр өөр өнцгөөс.
Бүх өгөгдөл нэр, хувийн мэдээлэлгүй болгож, өндөр нууцлалын стандартыг баримталсан болно.
AI системийн гүйцэтгэлийг үнэлэх нь
Бид AI системийн оношилгоог эмч мэргэжилтнүүдийн анхны оношилгоотой харьцуулан үнэлсэн. Судалгааны үр дүнгээс харахад AI нь хөхний хорт хавдрыг илрүүлэх нарийвчлалыг сайжруулж, оношилгооны алдааг багасгах чадвартай байв.
Оношилгооны алдааны бууралт
Худал эерэг (False Positive) онош – Хорт хавдаргүй боловч хорт хавдартай гэж буруу оношилсон тохиолдол:
АНУ: 5.7%-иар буурсан (шаардлагагүй шинжилгээ рүү илгээх эмэгтэйчүүдийн тоо багассан).
Их Британи: 1.2%-иар буурсан.
Худал сөрөг (False Negative) онош – Хорт хавдартай боловч оношилж чадаагүй тохиолдол:
АНУ: 9.4%-иар буурсан (AI ашигласнаар оношлогдолгүй үлдсэн хорт хавдрын тоо багассан).
Их Британи: 2.7%-иар буурсан.
Эдгээр үр дүнгээс харахад AI нь эмч нараас илүү өндөр нарийвчлалтай оношилгоо хийх чадвартай болохыг баталж байна. AI-г ашигласнаар илүү олон хорт хавдрыг эрт илрүүлж, шаардлагагүй шинжилгээ, зардлыг багасгах боломжтой.
AI системийн найдвартай байдал ба хэрэглээ
AI системийг Их Британийн өгөгдлөөр сургаж, АНУ-ын өгөгдөл дээр туршихад ч өндөр гүйцэтгэл үзүүлсэн. Энэ нь AI загварыг өөр өөр бүс нутаг, скринингийн тохиргоонд үр дүнтэй ашиглах боломжтойг харуулж байна. Тиймээс скринингийн түүх багатай бүс нутагт ч хиймэл оюун ухааныг нэвтрүүлэх боломжтой гэсэн найдвар төрүүлж байна.
Ирээдүйн судалгаа ба AI-г клиник хэрэглээнд нэвтрүүлэх нь
Хиймэл оюуныг эрүүл мэндийн салбарт үр дүнтэй ашиглахын тулд нэмэлт судалгаа, клиник туршилт хийх шаардлагатай.
Хоёр дахь уншигч хэлбэрээр AI-г ашиглах: Их Британид хоёр радиологич тусдаа оношилдог системтэй. AI-г хоёр дахь уншигч болгон ашиглахад хоёр дахь радиологичийн ачааллыг 88%-иар бууруулах боломжтой нь тогтоогдсон.
Клиник туршилтууд хийх: AI-г уламжлалт скринингийн хөтөлбөрт хэрхэн үр дүнтэй нэгтгэхийг тодорхойлох хэрэгтэй.
Дүгнэж хэлэхэд, хиймэл оюун ухааны технологи хөхний хорт хавдрын эрт илрүүлэлтэд хувьсгал авчирч, оношилгооны нарийвчлалыг нэмэгдүүлэн, эмч нарын ачааллыг бууруулахад чухал үүрэг гүйцэтгэж байна. Цаашид AI-гийн хэрэглээ өргөжиж, эмэгтэйчүүдийн эрүүл мэндийг хамгаалахад томоохон дэмжлэг болох боломжтой.
Эх сурвалж: https://deepmind.google/discover/blog/international-evaluation-of-an-ai-system-for-breast-cancer-screening/
Мэдээ бэлтгэсэн: Мэдээллийн технологийн салбар ЭША Д.Билэгдэмбэрэл